Casos clínicos de ortodoncia en Zaragoza

En Loscos Ortodoncia trabajamos cada tratamiento con precisión, experiencia y planificación personalizada. Y eso se nota en los resultados.

Aquí te mostramos algunos de nuestros casos reales de ortodoncia, tratados en nuestra clínica de Zaragoza por la Dra. Alicia Loscos y el Dr. Borja Urtiaga.

Resultados reales, un antes y un después

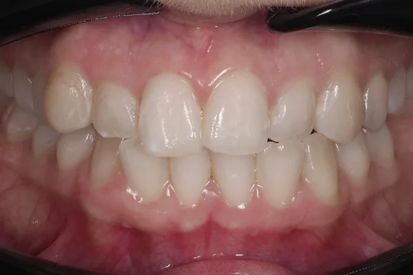
Paciente que acudió a la clínica con apiñamiento severo en el sector inferior y maloclusión de Clase II. Se indicó tratamiento con ortodoncia fija y elásticos de Clase II. Al finalizar, se realizó el recontorneado del sector anterosuperior para mejorar la estética.

Paciente con ausencia de dos molares inferiores; se indicó ortodoncia fija para verticalizar los molares y permitir la posterior colocación de implantes, mejorando la estética y la función.

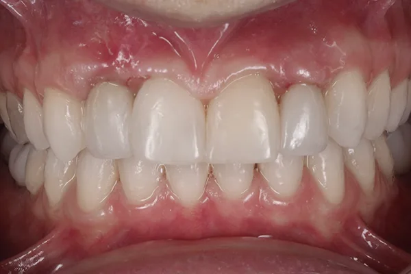
Ortodoncia fija para alinear y nivelar; después, blanqueamiento y carillas cerámicas en 11 y 21 para armonizar forma y color. Resultado: sonrisa más equilibrada y natural.

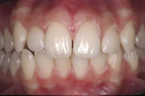
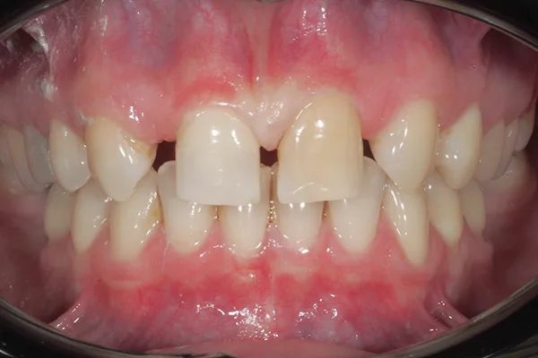
Paciente que acude a la clínica con agenesia de los incisivos laterales superiores; se planificó ortodoncia fija para coordinar espacios y finalizar con implantes en 12 y 22 y carillas en 11 y 21, mejorando estética y función.

Paciente con apiñamiento anterosuperior y anteroinferior, y mordida cruzada anterior de los incisivos laterales. Se realizó tratamiento multidisciplinar con alineadores transparentes, blanqueamiento dental, implante en 36 y composites de inyección en 11 y 21, logrando una mejora estética y funcional.

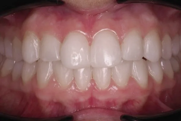
Paciente con maloclusión de Clase II, asimetría y biprotrusión dentoalveolar, tratada con ortodoncia fija autoligable. Se corrigieron las relaciones molares y caninas y la asimetría, mejorando la biprotrusión y logrando una oclusión funcional y estética.

¿Tú también quieres mejorar tu sonrisa?

Si te identificas con alguno de estos casos, o tienes dudas sobre tu tipo de mordida, te animamos a reservar una valoración.
En Loscos Ortodoncia estudiaremos tu caso con tecnología digital y te propondremos un plan de tratamiento 100 % adaptado a ti.

Llámanos
Resumen de privacidad

Esta web utiliza cookies para que podamos ofrecerte la mejor experiencia de usuario posible. Su información se almacena en tu navegador y realiza funciones tales como reconocerte cuando vuelves a nuestra web o ayudar a nuestro equipo a comprender qué secciones de la web encuentras más interesantes y útiles.