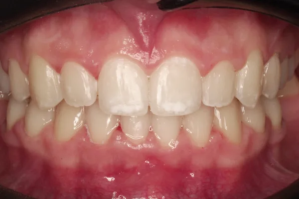
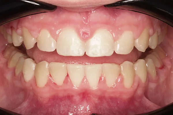
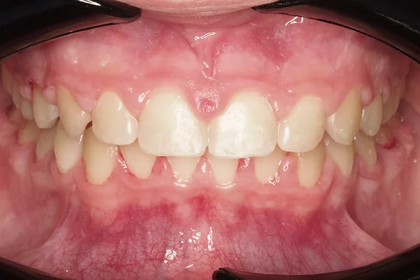
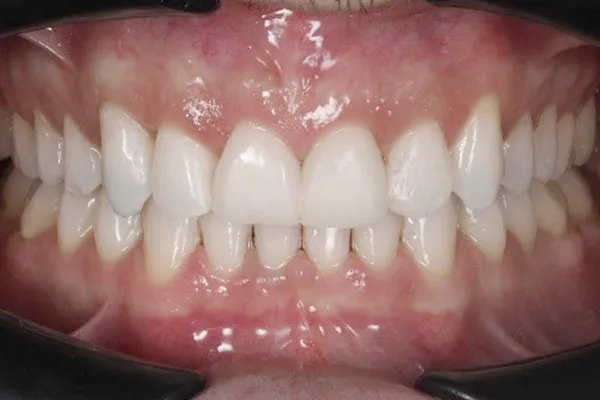
Brackets en Zaragoza
En Loscos Ortodoncia somos especialistas en ortodoncia con brackets en Zaragoza. Ofrecemos tratamientos personalizados con brackets metálicos, brackets transparentes y ortodoncia lingual para que consigas una sonrisa alineada, estética y funcional.
Gracias a nuestra experiencia y a la tecnología más avanzada en ortodoncia digital, diseñamos cada tratamiento a medida para que se adapte a tus necesidades y estilo de vida.


