Caso clínico

La nueva sonrisa de Teresa

Corrección de mordida abierta y desgaste dental

Teresa acudió a Loscos Ortodoncia, en Zaragoza, con una mordida abierta y desgaste generalizado en los dientes, problemas que afectaban tanto a la estética de su sonrisa como a la estabilidad de su mordida.

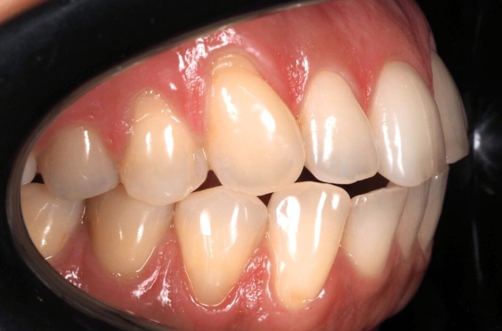
Tras realizar un diagnóstico completo y un tratamiento de ortodoncia personalizado, conseguimos una sonrisa más armónica, funcional y estable, mejorando tanto la estética como la salud bucal.

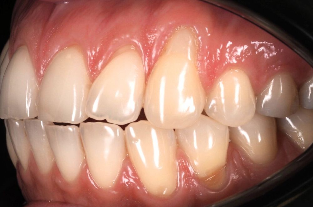
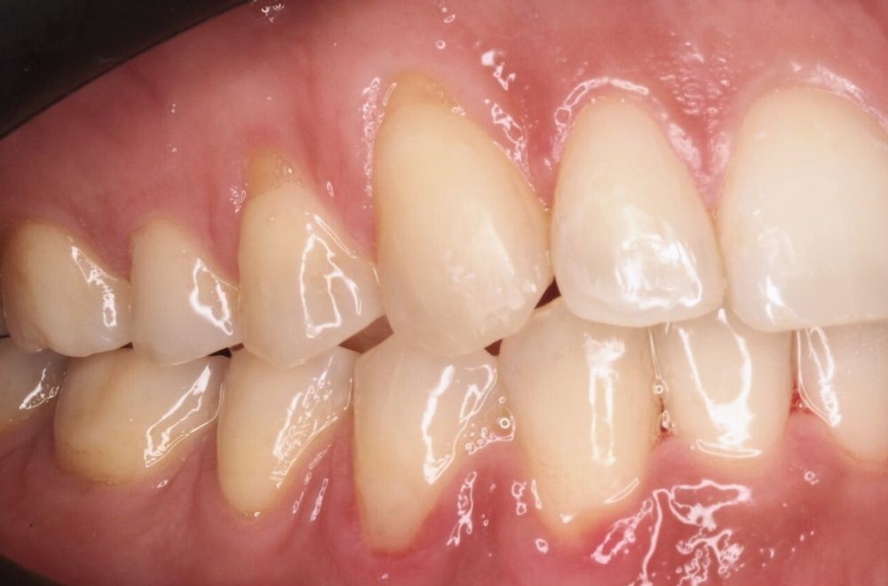
Situación inicial

En la primera exploración observamos varios aspectos que requerían tratamiento:

  • Mordida abierta anterior, que impedía un correcto contacto entre los dientes.
  • Desgaste dental generalizado, provocado por una distribución incorrecta de las fuerzas al morder.
  • Resalte disminuido, que afectaba al equilibrio de la mordida.
  • Contacto prematuro, que generaba inestabilidad oclusal

Este tipo de alteraciones no solo afectan a la estética de la sonrisa, sino que también pueden provocar desgaste progresivo de los dientes y problemas funcionales a largo plazo.

Diagnóstico y planificación

Tras realizar un estudio completo de ortodoncia, analizamos:

  • la posición de los dientes
  • la relación entre ambas arcadas
  • los puntos de contacto oclusal

Con esta información diseñamos un plan de tratamiento personalizado

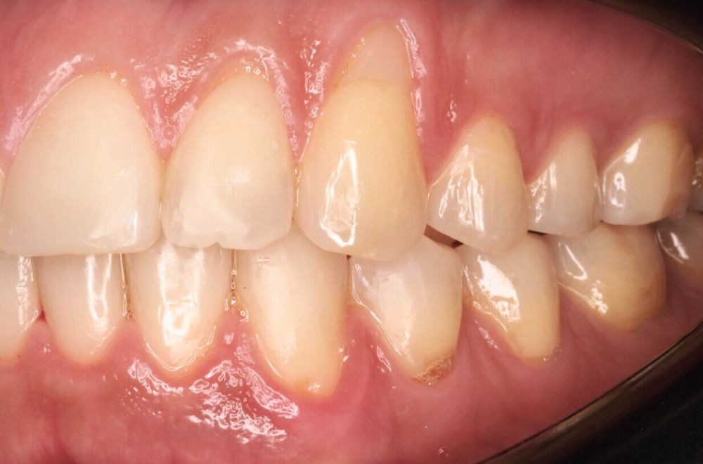
El tratamiento

Mediante ortodoncia conseguimos reposicionar los dientes y equilibrar el contacto entre ambas arcadas, eliminando el punto de contacto prematuro que estaba provocando desgaste dental.

¿Te gustaría mejorar tu sonrisa?

Si tienes problemas de mordida, desgaste dental o simplemente quieres mejorar la estética de tu sonrisa, nuestro equipo puede ayudarte.

Solicita tu primera visita en Loscos Ortodoncia en Zaragoza y estudiaremos tu caso de forma personalizada.

Llámanos
Resumen de privacidad

Esta web utiliza cookies para que podamos ofrecerte la mejor experiencia de usuario posible. Su información se almacena en tu navegador y realiza funciones tales como reconocerte cuando vuelves a nuestra web o ayudar a nuestro equipo a comprender qué secciones de la web encuentras más interesantes y útiles.